Transformations
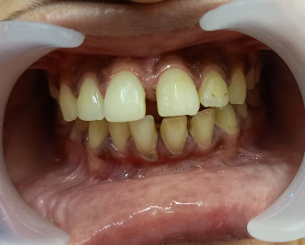
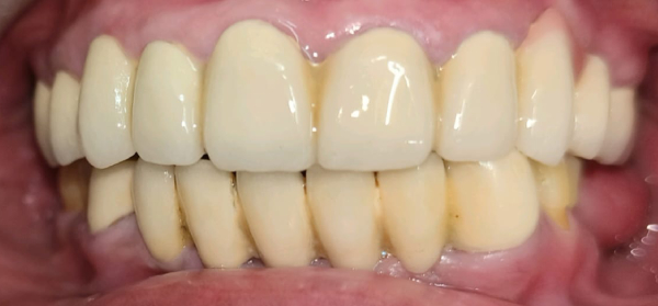
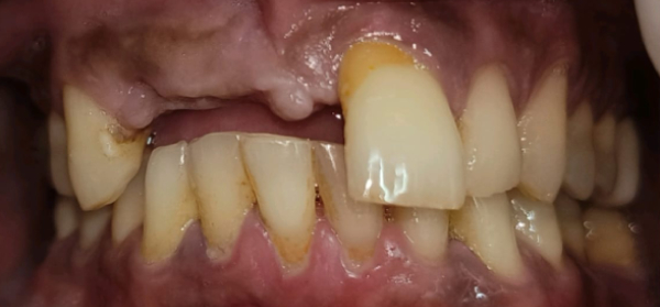
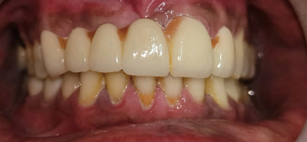
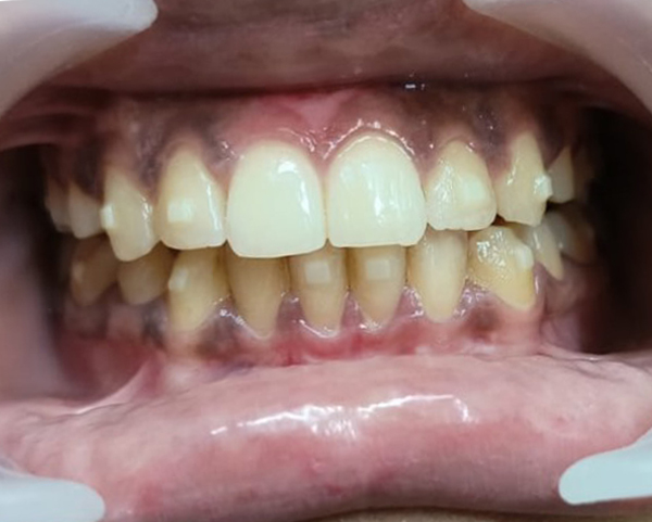
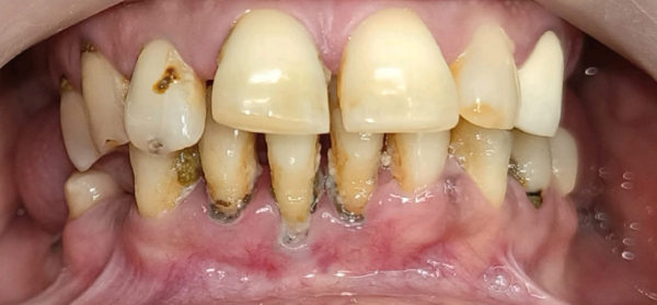
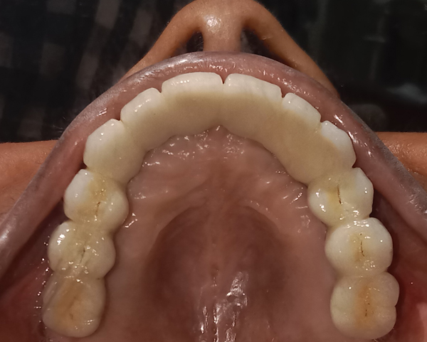
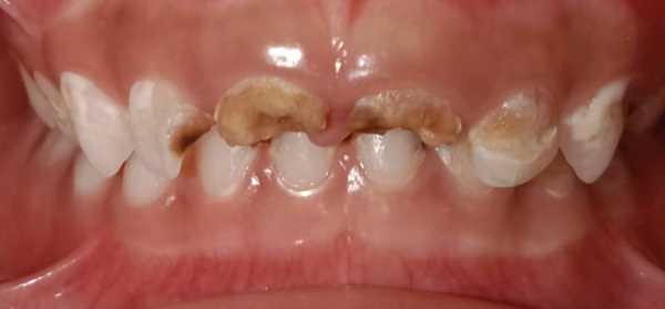
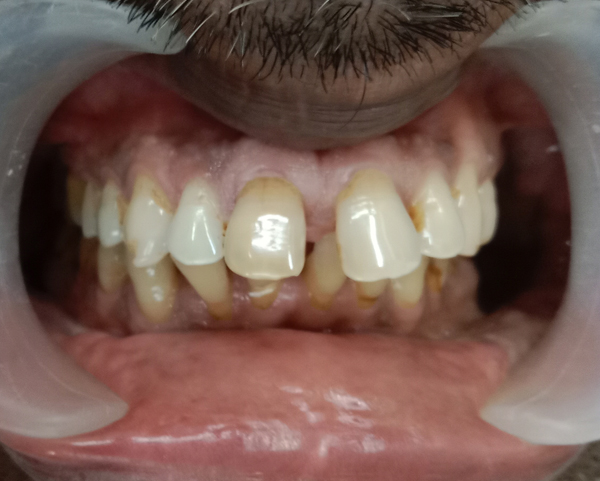
Explore our Gallery to see real transformations through our before-and-after images. From smile makeovers to advanced dental treatments, these results reflect the quality care and expertise our clients have experienced.
Explore our Gallery to see real transformations through our before-and-after images. From smile makeovers to advanced dental treatments, these results reflect the quality care and expertise our clients have experienced.